Notre équipe développe une approche intégrée de l’oncologie moléculaire centrée principalement sur les carcinomes urothéliaux de la vessie, avec pour objectif de caractériser de manière exhaustive les mécanismes moléculaires impliqués dans l’initiation, la progression et la réponse aux traitements de ces tumeurs.
S’appuyant sur des stratégies multi-omiques combinant génomique, transcriptomique et protéomique, ainsi que sur des analyses bioinformatiques à grande échelle et des validations expérimentales dans des modèles pré-cliniques, cellulaires, et in vivo, nos travaux ont contribué à l’établissement d’une classification moléculaire des cancers de la vessie infiltrants le muscle (MIBC), distinguant notamment des sous-types luminal et basal présentant des caractéristiques biologiques, pronostiques et thérapeutiques distinctes.
Cette stratification a permis de mettre en évidence des dépendances oncogéniques spécifiques, telles que l’activation de la voie PPARγ/RXRα dans les tumeurs luminales ou l’implication de la voie EGFR dans les formes basales, ouvrant la voie à des approches de médecine de précision ciblant ces vulnérabilités.
Notre équipe a également identifié d’autres altérations majeures, notamment impliquant FGFR3 ou la voie PI3K, et a exploré leur impact sur la biologie tumorale et le microenvironnement immunitaire. Nous nous intéressons notamment à l’hétérogénéité tumorale intra- et inter-individuelle ainsi qu’aux mécanismes de résistance aux traitements, en lien étroit avec des données cliniques issues d’essais thérapeutiques, permettant de développer et valider des biomarqueurs prédictifs de réponse.
L’ensemble de ces travaux s’inscrit dans une démarche résolument translationnelle, reposant sur une collaboration étroite entre biologistes, cliniciens et pathologistes, visant à améliorer la stratification des patients et à optimiser les stratégies thérapeutiques dans le cadre de la médecine personnalisée.


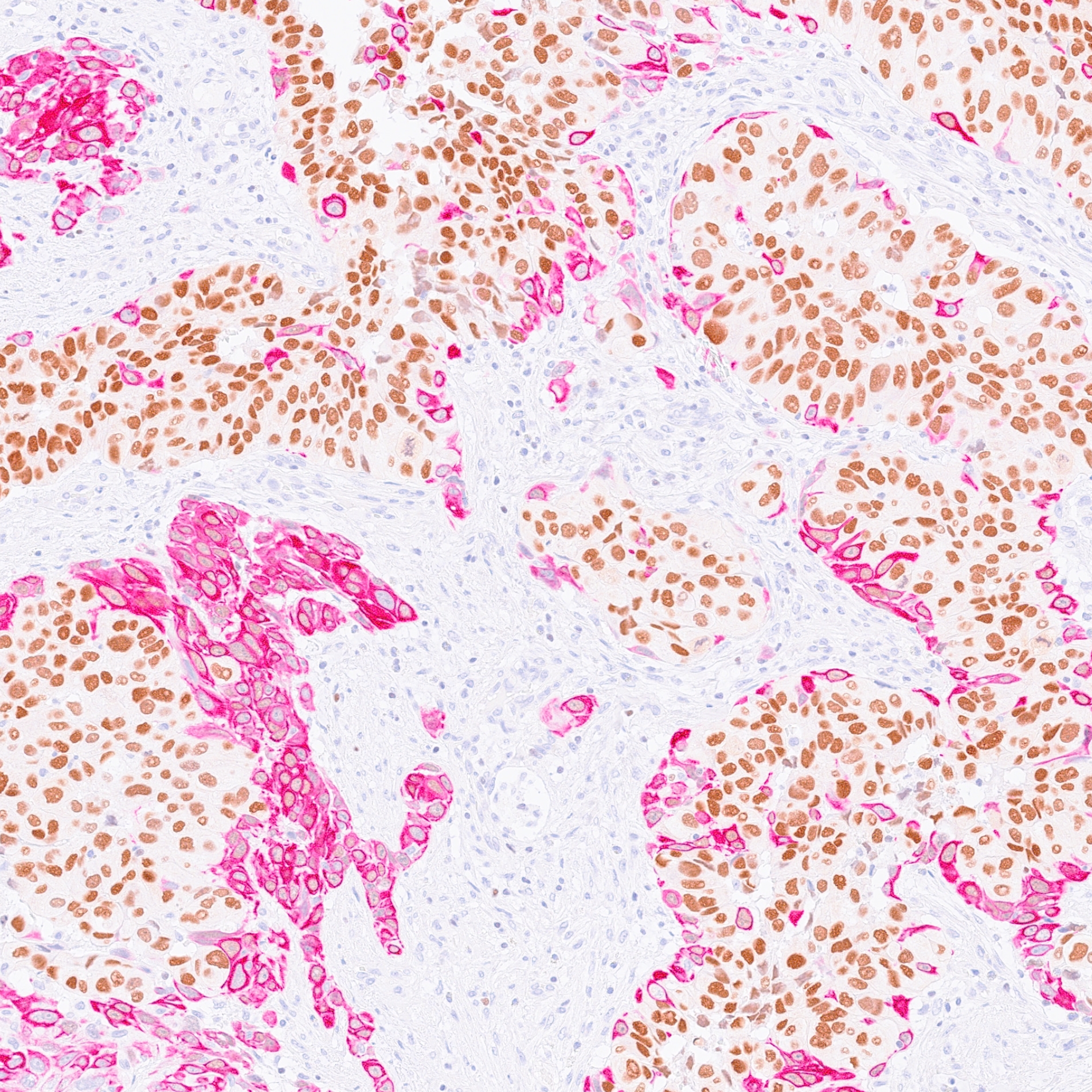
Our team develops an integrated approach to molecular oncology primarily focused on urothelial carcinomas of the bladder, with the objective of comprehensively characterizing the molecular mechanisms involved in tumor initiation, progression, and response to treatment.
Building on multi-omics strategies that combine genomics, transcriptomics, and proteomics, as well as large-scale bioinformatic analyses and experimental validation in preclinical, cellular, and in vivo models, our work has contributed to the establishment of a molecular classification of muscle-invasive bladder cancers (MIBC), notably distinguishing luminal and basal subtypes with distinct biological, prognostic, and therapeutic characteristics.
This stratification has enabled the identification of subtype-specific oncogenic dependencies, such as activation of the PPARγ/RXRα pathway in luminal tumors and involvement of the EGFR pathway in basal forms, thereby paving the way for precision medicine approaches targeting these vulnerabilities.
Our team has also identified other major alterations, including those involving FGFR3 and the PI3K pathway, and has investigated their impact on tumor biology and the immune microenvironment. We are particularly interested in intra- and inter-patient tumor heterogeneity as well as in mechanisms of treatment resistance, in close connection with clinical data from therapeutic trials, enabling the development and validation of predictive biomarkers of response.
Altogether, this work is part of a strongly translational approach based on close collaboration between biologists, clinicians, and pathologists, with the aim of improving patient stratification and optimizing therapeutic strategies within the framework of precision medicine.